2 Еще фото


Проф. Мербл (в центре) со своими студентами (слева направо): Карин Гольдберг, Эйнав Лазер, доктор Арсений Лобов, доктор Паола Антонелло, доктор Мейрав Шмуэли
(Фото: институт им. Вейцмана)
Профессор Ифат Мербл из Научно-исследовательского института им. Вейцмана в Реховоте попала в список Nature's-10, куда входят десять самых влиятельных ученых 2025 года. Престижный рейтинг объединил исследователей со всего мира, отобранных редакцией издания за вклад в особенно значимые научные открытия этого года. Подробности рассказывает во вторник, 9 декабря, сайт Ynet.
Проф. Мербл, специалист по системной биологии из отдела системной иммунологии, "раскрыла новый, неизвестный ранее уровень человеческой иммунной системы", написано в Nature. Ее описали как "детектива пептидов", сумевшую обнаружить "новый пласт иммунной системы, скрывающийся внутри "мусорных баков" клеток".
Проф. Мербл открыла абсолютно новый уровень человеческой иммунной системы, изучая протеасомы - клеточные перерабатывающие центры, ответственные за распад белков. В своих работах она выяснила, что при определенных условиях протеасомы не просто разрушают белки, а рассекают их таким образом, что образуются антимикробные пептиды, помогающие организму бороться с инфекциями.
►Новая перспектива для лечения людей с ослабленным иммунитетом
Основы прорыва сформировались благодаря методу, созданному исследователями несколько лет назад. Он позволил изучить, как активность протеасом меняется в ответ на бактериальное заражение. "Заметив, что расщепление пептидов в протеасоме изменяется из-за инфекции, мы поняли, что существует неизвестный прежде иммунный механизм", - говорит Карин Гольдберг, аспирант, руководившая проектом исследования.
Чтобы понять масштаб явления, ученые разработали алгоритм, проанализировавший все белки человеческого организма и выявивший, в каких из них скрыты белковые фрагменты со свойствами уничтожения бактерий. Так возникла беспрецедентная база данных пептидов с антимикробным потенциалом, многие из которых ранее не были известны.
"Возможно, мы сможем использовать этот банк пептидов для разработки индивидуальных методов борьбы с инфекциями или, например, для больных с угнетенным иммунитетом, таких как перенесшие пересадку органов и онкобольные. Они смогут получать терапию натуральными пептидами, которые усилят защитную систему их организма", - поясняет проф. Мербл. По ее словам, в эпоху, когда устойчивость к антибиотикам угрожает общественному здоровью, обнаружение сотен тысяч потенциальных иммунных пептидов открывает путь для создания новых, более точных и безопасных лекарств, основанных на естественных механизмах.
Она подчеркивает, что помимо клинического значения главный восторг вызывает само открытие нового базового клеточного механизма: "Эта работа показывает, насколько тесно переплетены разработка медицинских технологий и фундаментальная наука - путями, не всегда предсказуемыми заранее. Без технологии, позволяющей заглянуть в "мусорные баки" клеток, мы не сделали бы этого открытия. Но когда мы ее создавали, мы и представить себе не могли, что именно найдем".
Через месяц после публикации статьи об этом открытии в журнале Nature в лабораторию профессора Мербл в институте им. Вейцмана ударила иранская ракета.
►Разрушенная лаборатория
Проф. Мербл описывает драматические моменты после удара ракеты по зданию лаборатории. Она живет в кампусе института со своей спутницей жизни и тремя детьми и находилась очень близко к месту атаки. "Я живу прямо рядом с районом, куда попала вторая из двух ракет, поразивших институт им. Вейцмана. Наша квартира тоже пострадала от ударной волны. Я вышла посмотреть, что произошло в лаборатории, - ущерб был огромен. Все здание повреждено, повсюду были осколки и разруха", - вспоминает она.
"Нам пришлось быстро закрыть все лабораторные холодильники, чьи двери распахнулись от взрыва, а также краны. Мы вошли в здание вместе со спасателями и начали забирать все, что могли унести. Также нужно было сохранить образцы до эвакуации, ведь электричества не было. Позже мы переехали в другое здание и начали восстанавливать лабораторию", - говорит она.
►"Естественные антибиотики", которые производит наш организм
2 Еще фото


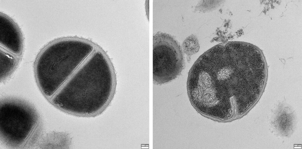
Посев клетки здорового микроба и клетка микроба, уничтоженная антимикробными пептидами, образующимися в протеасоме и обнаруженными в ходе исследования
(Фото: институт им. Вейцмана)
Открытие, послужившее причиной выбора журнала Nature, раскрывает природный механизм иммунной защиты, постоянно действующий в организме. "В своем исследовании мы обнаружили, что при распаде белков в клетке постоянно образуются пептиды с антимикробной активностью - своего рода "естественные антибиотики", которые организм создает сам, - объясняет проф. Мербл. - Эти пептиды можно производить вне организма, и они могут помочь в борьбе с инфекциями и даже спасти жизнь".
Это открытие вызвало большой резонанс в мире. "Мы нашли антимикробное вещество, подобное антибиотику, которое организм производит сам. И это произошло в то время, когда медицина обеспокоена отсутствием реакции больных на многие антибиотики! - рассказывает она и подчеркивает, что за достижением стоит командная работа: - Все это не случилось бы без моих удивительных студентов во главе с Карин Гольдберг, руководившей исследованием".
По мнению профессора, исследовательская среда в институте им. Вейцмана обеспечивает полную научную свободу даже для самых смелых и нестандартных идей. "Замечательно, что такое исследование можно проводить в Израиле, - говорит она. - Есть еще много направлений и научных секретов, скрытых в "мусорных баках" клеток, и сейчас мы значительно расширяем изучение этой области".
►Миссия Израиля - прогресс человечества
Докторскую степень проф. Мербл получала в Гарвардском университете, а магистерскую - в институте им. Вейцмана, в той самой лаборатории, которая была уничтожена иранской ракетой.
Профессор считает, что нужно смотреть вперед, думая о восстановлении и продвижении, а не о разрушениях. "В нашей стране происходит много важного, и нам есть что предложить миру. И я, и институт им. Вейцмана привержены прогрессу человечества - это наша миссия. На этой основе Израиль должен расти и развиваться, потому что именно человеческий капитал - наш самый ценный ресурс. Нужно обеспечить, чтобы страна продолжала порождать знания и инновации в сферах биотехнологий и биомедицины", - утверждает она.
По словам проф. Мербл, исследование имеет огромную ценность. "Значение работы о сокровищах, скрытых в "мусорных баках" клеток, пересекает все научные области и актуально для широкого спектра болезней - не только для одного заболевания. Эта технология, позволяющая по-новому взглянуть на клеточные "мусорные баки", может повлиять на наше понимание и восприятие болезней - и, конечно, на методы их лечения", - заключает она.
Подробности на иврите читайте здесь
Перевод: Даниэль Штайсслингер

