Пишете длинные текстовые сообщения в смартфоне? Будьте осторожны: эта привычка может привести к заболеваниям кисти руки. Не менее 55.000 израильтян в 2018 году повредили руку вследствие пользования мобильными телефонами. Это установила проверка, проведенная израильской Ассоциацией хирургов кисти руки.
Председатель ассоциации д-р Шай Лурье из больницы "Хадасса" утверждает: "Сотовые телефоны причиняют кисти существенный ущерб. В наши дни есть люди, которые пользуются ими постоянно, телефон стал для них подобием части тела. Но исследования показали, что такой режим использования причиняет вред рукам, и боли в кисти распространены намного больше, чем принято думать".
Слишком интенсивное использование смартфонов повреждает сухожилия и нервы ладони, вызывает артриты и обострение синдрома запястного канала ("тисмонет ха-таала ха-карпалит"), при котором нарушаются чувствительность пальцев и подвижность большого пальца.
Д-р Лурье говорит: "Одна из проблем, вызываемых сотовым телефоном, - это обострение существующих расстройств. Например, если человек страдает артритом или у него перелом запястья в стадии заживления, то избыточное пользование телефоном усугубляет состояние. Мы стараемся повысить осведомленность населения о побочных эффектах технического прогресса".
По данным службы неотложной помощи "Терем", 36% обращений в медпункты связаны с повреждением руки. В Израиле есть всего 70 специалистов по хирургии кисти, поэтому нередко лечением таких больных занимаются ортопеды.
2 Еще фото


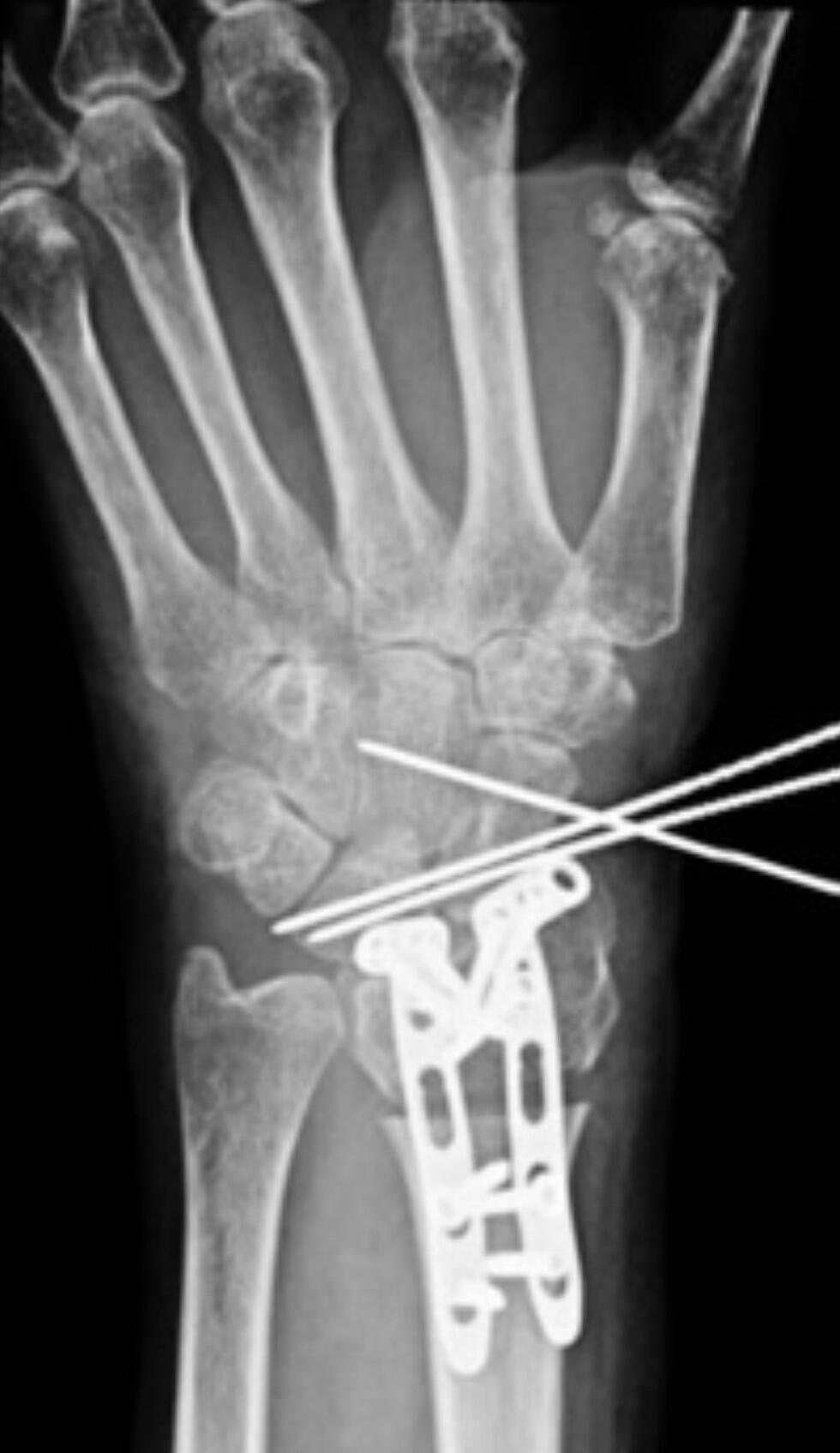
Рентгенограмма кисти 57-летней женщины, у которой не заживал перелом запястья из-за привычки набирать текстовые сообщения. Снимок предоставлен д-ром Лурьe
В письме на имя генерального директора минздрава д-р Лурье пишет: "Повреждение кисти чаще всего встречается у молодых людей, и оно надолго лишает их возможности нормально работать и функционировать. В больницах "Сорока" в Беэр-Шеве, "Меир" в Кфар-Сабе и "Ха-Эмек" в Афуле нет дежурного хирурга кисти, в больнице "Бейлинсон" в Петах-Тикве такой специалист дежурит всего несколько раз в месяц. А вот в больницах "Хадасса", "Рамбам", "Вольфсон" и "Асаф ха-Рофе" есть ежедневные дежурства, в больнице "Шиба" принимают даже 2 таких хирурга".
24 июня состоится экстренное заседание ассоциации, в ходе которого врачи потребуют от минздрава создать в больницах отделения хирургии кисти, а в поликлиниках больничных касс - добавить соответствующие ставки.
Как пользоваться смартфоном без риска повредить руку?
• При использовании телефона запястье следует держать прямым.
• Старайтесь писать в телефоне, положив предплечья (область от кисти до локтя) на ноги или на стол.
• При наборе текста пользуйтесь обоими большими пальцами.
• Меняйте руку и палец при наборе сообщений. Вместо набора очень длинных текстов лучше отправить голосовое сообщение или позвонить.
• Используйте при печатании на телефоне ноготь, а не подушечку большого пальца.
• Раз в 15 минут делайте перерыв в использовании телефона.
• Во время перерыва делайте упражнения на растяжку всех пальцев и запястья.
Подробности на иврите
Перевод: Даниэль Штайсслингер


