3 Еще фото


Набухающий гель - виновник драмы. Фото: Детский медицинский центр "Шнайдер"
(Фото: пресс-служба)
Забавная игрушка чуть не стала причиной гибели малыша в возрасте 1 года.
У ребенка внезапно начались сильные боли в животе и рвота. Перепуганные родители привезли его в приемный покой Детского медицинского центра "Шнайдер" в Петах-Тикве. Там заподозрили непроходимость кишечника.
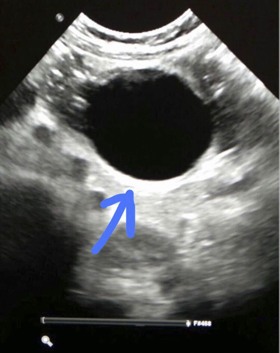
Малышу сделали УЗИ и выявили кистообразное образование, закупоривающее кишечник. Но природа этого новообразования поначалу не была ясна.
После консультаций со старшими врачами хирургического отделения д-ром Артуром Баазовым и Анастасией Альмог малыша отправили в операционную, где продолжили обследовать.
Вскоре выяснилось, что ребенок проглотил гелевый шарик, который разбух у него в кишечнике и вызвал непроходимость. С помощью щадящих хирургических методов врачи осторожно извлекли шарик и отправили ребенка в хирургическое отделение для дальнейшего наблюдения.
3 Еще фото


Вот эти шарики смертельно опасны. Фото: Детский медицинский центр "Шнайдер"
(Фото: пресс-служба)
Врачи больницы "Шнайдер" рассказали "Вестям", что год назад, в апреле 2017 года, в приемный покой доставили 2-летнего ребенка, который проглотил 15 таких шариков. К счастью, их также удалось извлечь без последствий.
По словам д-ра Анастасии Альмог, гелевые шарики, которые набухают во влажной среде, представляют угрозу жизни маленьких детей в той же степени, что и батарейки или магниты. (Из проглоченных батареек внутрь организма может вылиться химическое вещество, а магниты склеивают петли кишечника - в обоих случаях это смертельно опасно.)
Вообще не стоит давать малышам для игры какие-либо предметы такого размера, которые ребенок может проглотить, подчеркнула доктор. Попадание таких инородных тел в организм, будь то кишечник или дыхательные пути, может причинить существенный ущерб. Надо также позаботиться о том, чтобы любые мелкие или опасные вещи хранились в местах, недоступных для малышей.


